Convulsão em cães e gatos: é idiopática ou não?
Como a tomografia de crânio pode ajudar na investigação das causas.
A convulsão em cães e gatos é um dos sinais clínicos mais comuns que os veterinários encontram ao avaliar pacientes com doenças neurológicas centrais. Quando um animal apresenta episódios convulsivos, é fundamental entender se o quadro tem causa idiopática (de origem desconhecida ou genética) ou se está relacionado a uma condição estrutural no cérebro. Essa distinção é essencial para direcionar o tratamento adequado e estabelecer um prognóstico mais preciso.
O que é convulsão em cães e gatos?
A convulsão consiste em uma atividade elétrica anormal no cérebro, que provoca alterações motoras, comportamentais e autonômicas nos animais. Esses episódios podem variar de leves a graves, podendo ocorrer de forma isolada ou repetida ao longo do tempo. A compreensão das causas das convulsões em cães e gatos é fundamental para oferecer o melhor cuidado a esses pacientes.
Causas de convulsão em cães e gatos: idiopática ou estrutural?
As convulsões em animais de estimação podem ser classificadas, de acordo com sua etiologia, em duas grandes categorias:
Convulsão idiopática
- Geralmente de origem genética ou familiar.
- Não apresenta alterações evidentes na estrutura do cérebro.
- Comum em raças específicas, como Golden Retriever, Schnauzer, Beagle, entre outras.
- Muitas vezes, inicia na fase jovem ou adulta precoce.
Convulsão de origem estrutural
- Associada a alterações físicas no cérebro.
- Pode ser causada por traumatismo craniano, infecções, inflamações, tumores, malformações do desenvolvimento, sangramentos ou processos degenerativos.
- Geralmente, essas convulsões apresentam um padrão mais persistente e podem estar relacionadas a sinais neurológicos adicionais.
A importância do diagnóstico correto
Identificar a causa das convulsões é um passo decisivo para um tratamento eficaz e para melhorar a qualidade de vida do seu pet. Para isso, exames de imagem, juntamente com análise do líquor (líquido cefalorraquidiano), são essenciais para esclarecer se há alguma lesão ou alteração estrutural responsável pelos episódios convulsivos.
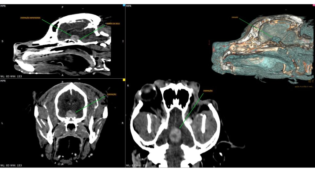
Como a tomografia computadorizada do crânio pode ajudar na investigação das convulsões em cães e gatos
A tomografia computadorizada (TC) de crânio é uma ferramenta de diagnóstico por imagem amplamente utilizada na avaliação de convulsões em cães e gatos. Esse exame permite uma análise detalhada das estruturas encefálicas, ajudando a detectar condições que possam estar causando os episódios convulsivos.
Benefícios da tomografia de crânio na avaliação de convulsões
- Detecção de lesões ósseas e encefálicas: como hidrocefalia, tumores, áreas de hemorragia, necrose ou inflamação.
- Identificação de alterações vasculares e degenerativas: que podem contribuir para o quadro convulsivo.
- Avaliação pós-administração de contraste: que pode evidenciar formações tumorais, inflamações e outras anormalidades de forma mais detalhada.
- Preparo do paciente: a otimização do procedimento anestésico é fundamental para garantir a segurança durante a realização do exame.
Além disso, a análise do líquor em conjunto com a tomografia
Em alguns casos, para um diagnóstico mais preciso, recomenda-se a coleta de líquor, especialmente quando há suspeita de processos inflamatórios, infecciosos ou degenerativos. A combinação desses métodos aumenta a sensibilidade do diagnóstico, permitindo uma abordagem mais direcionada e eficiente para o tratamento do seu animal.
Conclusão
Se o seu cão ou gato apresentar episódios de convulsão, é fundamental buscar a orientação de um veterinário neurologista ou especialista em diagnóstico por imagem. Esses profissionais podem solicitar exames de tomografia computadorizada do crânio e análise do líquor, que são recursos imprescindíveis para esclarecer se a convulsão é idiopática ou de origem estrutural.
Lembre-se: a correta investigação da causa das convulsões possibilita uma intervenção mais eficaz, melhora o prognóstico e garante uma melhor qualidade de vida ao seu pet. Conte sempre com uma equipe especializada em diagnóstico por imagem e neurologia veterinária para cuidar do seu melhor amigo!

